8. Đề kiểm tra 15 phút – Đề số 8 – Chương V – Sinh 12

Giải Đề kiểm tra 15 phút – Đề số 8 – Chương V – Sinh 12

Đề bài

Câu 1. Ở người, Xa quy định máu khó đông; XA quy định máu bình thường. Bố và con trai mắc bệnh máu khó đông, mẹ bình thường. Nhận xét nào dưới đây là đúng nhất?

A. Con trai nhận gen bệnh từ ông nội.

B. Con trai đã nhận Xa từ bố.

C. Mẹ có kiểu gen XAXA.

D. Con trai đã nhận Xa từ mẹ.

Câu 2. Bệnh, hội chứng nào sau đây ở người là hậu quả của đột biến gen?

A. Bệnh ung thư máu.

B. Hội chứng Claiphentơ.

C. Hội chứng Đao.

D. Bệnh mù màu đỏ lục.

Câu 3. Ở người, bệnh nào sau đây do alen lặn nằm trên nhiễm sắc thể giới tính qui định?

A. Pheninketo niệu

B. Máu khó đông

C. Ung thư máu

D. Bạch tạng

Câu 4. Ở người, bệnh bạch tạng do gen lặn nằm trên nhiễm sắc thể thường quy định. Một cặp vợ chồng đều bình thường nhưng mang gen gây bệnh thì xác suất để sinh đứa con đầu lòng là con gái không bị bệnh bạch tạng là:

A. 3/8                                     B. 1/4

C. 1/8                                     D. 3/4

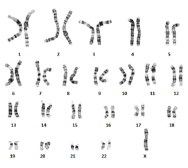
Câu 5. Hình bên là ảnh chụp bộ nhiễm sắc thể bất thường ở một người. Người mang bộ nhiễm sắc thể này

A. Mắc hội chứng tơcnơ

B. Mắc hội chứng Claiphento

C. Mắc hội chứng Đao

D. Mắc hội chứng siêu nữ

Câu 6. Bệnh bạch tạng ở người do alen lặn nằm trên NST thường quy định. Một cặp vợ chồng không bị bạch tạng sinh con đầu bị bệnh bạch tạng. Tính xác suất để họ sinh 3 người con gồm 2 con trai  bình thường và 1 con gái bạch tạng ?

A. 30/512                             B. 27/512

C. 29/512                             D. 28/512

Câu 7. Bằng các làm tiêu bản tế bào đề quan sát bộ NST thì không phát hiện sớm trẻ mắc hội chứng nào sau đây?

A. Hội chứng Claiphento 

B. Hội chứng Tớc-nơ

C. Hội chứng AIDS

D. Hội chứng Đao

Câu 8. Đứa trẻ 8 tuổi trả lời được các câu hỏi của 10 tuổi thì IQ bằng bao nhiêu?

A. IQ = 125                            B. IQ = 80

C. IQ = 1.25                           D. IQ = 200

Câu 9. Loại bệnh được đặc trưng bởi sự tăng sinh không kiểm soát được của một số tế bào dẫn đến hình thành khối u chén ép các cơ quan được gọi là

A. Bệnh ung thư

B. Bệnh di truyền phân tử

C. Bệnh AIDS

D. bệnh di truyền tế bào

Câu 10. Cho các bệnh, tật, hội chứng di truyền ở người:

(1)Hội chứng Etuôt

(2) Hội chứng suy giảm miễn dich mắc phải (AIDS)

(3) Bệnh máu khó đông

(4) Bệnh bạch tạng

(5) Hội chứng Pautau

(6) Hội chứng Đao

(7) Bệnh ung thư máu

(8) Bệnh thiếu máu hồng cầu hình liềm.

(9) Tật có túm lông ở vành tai.

(10) Bệnh phenin kêto niệu

Có bao nhiêu bệnh tật, hội chứng di truyền ở người được phát hiện bằng nghiên cứu tế bào là:

A. 4                                        B. 6

C. 5                                        D. 7

Lời giải chi tiết

ĐÁP ÁN VÀ HƯỚNG DẪN GIẢI CHI TIẾT

1

D

2

D

3

B

4

A

5

A

6

B

7

C

8

A

9

A

10

A

Câu 1

Con trai mắc bệnh máu khó đông chắc chắn phải nhận Xa từ mẹ vì đã nhận Y từ bố.

Chọn D

Câu 2

Hậu quả của đột biến gen là: bệnh mù màu đỏ – xanh lục,  phương án A,B,C đều là do đột biến NST.

Chọn D

Câu 3

Ở người:

Pheninketo niệu và bạch tạng là các bệnh do alen lặn trên NST thường gây ra

Ung thư máu là do đột biến cấu trúc NST gây ra

Máu khó đông do alen lặn trên NST giới tính gây ra

Chọn B

Câu 4

A bình thường >> a bị bệnh

Cặp vợ chồng : Aa × Aa

Xác suất sinh con gái đầu lòng, không bị bệnh bạch tạng là 3/4 ×1/2 = 3/8

Chọn A

Câu 5

Nhận xét: hình ảnh trên là của người mắc hội chứng Turner (45, X)

Chọn A

Câu 6

Bố mẹ bình thường sinh con bị bạch tạng →  bố mẹ dị hợp về cặp gen này : Aa

Xác suất họ sinh 2 người con trai bị bình thường và 1 người con gái bị bệnh :\(C_3^2{\left( {\frac{1}{2} \times \frac{3}{4}} \right)^2} \times \left( {\frac{1}{2} \times \frac{1}{4}} \right) = \frac{{27}}{{512}}\)

Chọn B

Câu 7

Không thể phát hiện hội chứng AIDS bằng cách làm tiêu bản bộ NST được vì nguyên nhân của hội chứng này ở mức độ phân tử (gen của virus đã được cài xen vào hệ gen người)

Các phương án khác đều là hội chứng do lệch bội nên có thể quan sát thấy.

Chọn C

Câu 8

\(IQ = \frac{{10}}{8} \times 100 = 125\)

Chọn A

Câu 9

Bệnh ung thư được đặc trưng bởi sự tăng sinh không kiểm soảt được của một số tế bào dẫn đến hình thành khối u chén ép các cơ quan

Chọn A

Câu 10

Các bệnh ,tật, hội chứng di truyền được phát hiện nhờ nghiên cứu tế bào là: (1) : 3 NST số 18,(5) :3 NST số 13; (6): 3 NST số 21; (7): mất vai ngắn NST 21 hoặc 22.

Còn lại đều là bệnh di truyền nên không thể phát hiện bằng nghiên cứu tế bào.

Chọn A

Webgiaibaitap.com

TẢI APP ĐỂ XEM OFFLINE

Đề thi thử THPT Quốc gia môn Sinh học