Đề bài
Câu 1. Cho các bệnh sau:
(1) Máu khó đông
(2) Bạch tạng
(3) Pheninketo niệu
(4) Thiếu máu hồng cầu lưỡi liềm
(5) Mù màu
Có bao nhiêu bệnh được biểu hiện ở cả nam và nữ với xác suất ngang nhau?
A. 2 B. 3
C. 4 D. 1
Câu 2. Cho sơ đồ phả hệ mô tả sự di truyền một bệnh ở người do một trong hai alen của một gen quy định, alen trội là trội hoàn toàn.
Biết rằng không xảy ra đột biến mới và người đàn ông II – 4 đến từ một quần thể khác đang ở trạng thái cân bằng di truyền có tần số alen gây bệnh là 0,4. Có bao nhiêu nhận xét đúng.
(1) Bệnh do alen lặn nằm trên NST thường quy định
(2) Người con gái số I-2 có kiểu gen đồng hợp
(3) Có 5 người trong phả hệ trên có thể biết kiểu gen
(4) Cặp vợ chồng III-7 và III-8 sinh người con số 10 không mang alen gây bệnh với tỉ lệ 47,2%
A. 1 B. 3
C. 4 D. 2
Câu 3. Gen quy định nhóm máu ở người gồm 3 alen: IA, IB, IO. Trong trường hợp biết nhóm máu của bố, mẹ sẽ xác định được kiểu gen của bố, mẹ nếu con có nhóm máu
A. AB B. A
C. O D. B
Câu 4. Hình trên mô tả bệnh nhân bị

A. hội chứng Đao.
B. bệnh hồng cầu hình lưỡi liềm.
C. bệnh máu khó đông.
D. hội chứng Claiphentơ.
Câu 5. Đặc điểm di truyền của bệnh mù màu đỏ và xanh lục là
A. tỉ lệ mắc bệnh ở nam và nữ là ngang nhau.
B. mẹ bình thường có thể sinh con trai bị bệnh.
C. khi cả bố và mẹ bình thường thì chắc chắn sinh con trai bình thường.
D. bố bị bệnh chắc chắn sinh con trai bị bệnh.
Câu 6. Ở người, tính trạng thuận tay là do một loocut trên NST thường chi phối, alen A qui định thuận tay phải là trội hoàn toàn so với alen a quy định thuận tay trái. Ở một quần thể người đang cân bằng di truyền, người ta nhận thấy có 16% dân số thuận tay trái. Theo lý thuyết, xác suất để một cặp vợ chồng thuận tay phải trong quần thể nói trên sinh ra đứa con đầu lòng thuận tay trái là
A. 13,92% B. 25%
C. 10,24% D. 8,16%
Câu 7. Nhận định nào sau đây không đúng khi nói về bệnh ung thư?
A. Cơ chế gây bệnh do đột biến gen và đột biến nhiễm sắc thể.
B. Bệnh được đặc trưng bởi sự tăng sinh không kiểm soát của tế bào.
C. Đột biến gây bệnh chỉ xảy ra ở tế bào sinh dục.
D. Bệnh được hình thành do đột biến gen ức chế khối u và gen quy định các yếu tố sinh trưởng.
Câu 8. Một trong những bệnh rối loạn chuyển hóa ở người là bệnh phêninkêtô niệu. Người bệnh không chuyển hóa được axit amin phêninalanin thành tirôzin làm axit amin phêninalanin ứ đọng trong máu, chuyển lên não gây đầu độc tế bào thần kinh làm bệnh nhân bị thiểu năng trí tuệ dẫn đến mất trí nhớ. Trong các kết luận sau đây, có bao nhiêu kết luận đúng?
(1) Nguyên nhân gây bệnh do đột biến xảy ra ở cấp độ phân tử.
(2) Bệnh có khả năng chữa trị hoàn toàn nếu phát hiện sớm.
(3) Bệnh có khả năng chữa trị nếu phát hiện sớm và có chế độ ăn kiêng hợp lí.
(4) Bệnh do gen đột biến không tạo được enzim xúc tác cho phản ứng chuyển hóa axit amin phêninalanin thành tirôzin.
A. 1 B. 4
C. 2 D. 3
Câu 9. Cho các bệnh và tật di truyền sau:
(1) Bệnh phêninkêto niệu.
(2) Hội chứng Đao.
(3) Hội chứng Tơcnơ.
(4) Bệnh máu khó đông.
(5) Bệnh thiếu máu hồng cầu hình lưỡi liềm
(6) Bệnh Đao
Những bệnh hoặc hội chứng bệnh nào có nguyên nhân do đột biến gen:
A. (1), (3), (6). B. (1), (4), (6).
C. (2), (4), (5). D. (1), (4), (5).
Câu 10. Cơ sở khoa học của luật hôn nhân gia đình “cấm kết hôn trong vòng 3 đời” là
A. Đột biến xuất hiện với tần số cao ở thế hệ sau.
B. Thế hệ sau kém phát triển dần.
C. Gen lặn có hại có điều kiện biểu hiện ra kiểu hình.
D. Thế hệ sau có những biểu hiện suy giảm trí tuệ.
Câu 11. Những biện pháp được dùng để bảo vệ vốn gen loài người:
(1) Tạo môi trường sạch.
(2) Tránh và hạn chế tác hại của các tác nhân gây đột biến.
(3) Sử dụng kĩ thuật nhân bản vô tính tạo ra nhiều cá thể giống nhau.
(4) Sử dụng liệu pháp gen. Số biện pháp đúng:
A. 2 B. 4
C. 1 D. 3
Câu 12. Ở người, Xa quy định máu khó đông; XA quy định máu bình thường. Bố và con trai mắc bệnh máu khó đông, mẹ bình thường. Nhận xét nào dưới đây là đúng nhất?
A. Con trai nhận gen bệnh từ ông nội.
B. Con trai đã nhận Xa từ bố.
C. Mẹ có kiểu gen XAXA.
D. Con trai đã nhận Xa từ mẹ.
Câu 13. Bệnh, hội chứng nào sau đây ở người là hậu quả của đột biến gen?
A. Bệnh ung thư máu.
B. Hội chứng Claiphentơ.
C. Hội chứng Đao.
D. Bệnh mù màu đỏ lục.
Câu 14. Ở người, bệnh nào sau đây do alen lặn nằm trên nhiễm sắc thể giới tính qui định?
A. Pheninketo niệu
B. Máu khó đông
C. Ung thư máu
D. Bạch tạng
Câu 15. Ở người, bệnh bạch tạng do gen lặn nằm trên nhiễm sắc thể thường quy định. Một cặp vợ chồng đều bình thường nhưng mang gen gây bệnh thì xác suất để sinh đứa con đầu lòng là con gái không bị bệnh bạch tạng là:
A. 3/8 B. 1/4
C. 1/8 D. 3/4
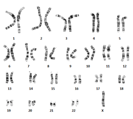
Câu 16. Hình bên là ảnh chụp bộ nhiễm sắc thể bất thường ở một người. Người mang bộ nhiễm sắc thể này

A. Mắc hội chứng tơcno
B. Mắc hội chứng Claiphento
C. Mắc hội chứng Đao
D. Mắc hội chứng siêu nữ
Câu 17. Bệnh bạch tạng ở người do alen lặn nằm trên NST thường quy định. Một cặp vợ chồng không bị bạch tạng sinh con đầu bị bệnh bạch tạng. Tính xác suất để họ sinh 3 người con gồm 2 con trai bình thường và 1 con gái bạch tạng ?
A. 30/512 B. 27/512
C. 29/512 D. 28/512
Câu 18. Bằng các làm tiêu bản tế bào đề quan sát bộ NST thì không phát hiện sớm trẻ mắc hội chứng nào sau đây?
A. Hội chứng Claiphento
B. Hội chứng Tớc-nơ
C. Hội chứng AIDS
D. Hội chứng Đao
Câu 19. Đứa trẻ 8 tuổi trả lời được các câu hỏi của 10 tuổi thì IQ bằng bao nhiêu?
A. IQ = 125 B. IQ = 80
C. IQ = 1.25 D. IQ = 200
Câu 20. Loại bệnh được đặc trưng bởi sự tăng sinh không kiểm soát được của một số tế bào dẫn đến hình thành khối u chén ép các cơ quan được gọi là
A. Bệnh ung thư
B. Bệnh di truyền phân tử
C. Bệnh AIDS
D. bệnh di truyền tế bào
Câu 21. Cho các bệnh, tật, hội chứng di truyền ở người:
(1)Hội chứng Etuôt
(2) Hội chứng suy giảm miễn dich mắc phải (AIDS)
(3) Bệnh máu khó đông
(4) Bệnh bạch tạng
(5) Hội chứng Pautau
(6) Hội chứng Đao
(7) Bệnh ung thư máu
(8) Bệnh thiếu máu hồng cầu hình liềm.
(9) Tật có túm lông ở vành tai.
(10) Bệnh phenin kêto niệu
Có bao nhiêu bệnh tật, hội chứng di truyền ở người được phát hiện bằng nghiên cứu tế bào là:
A. 4 B. 6
C. 5 D. 7
Câu 22. Khi nói về bệnh phêninkêto niệu ở người, phát biểu nào sau đây là đúng?
A. Chỉ cần loại bỏ hoàn toàn axit amin phêninalanin ra khỏi khẩu phần ăn của người bệnh thì người bệnh sẽ trở nên khỏe mạnh hoàn toàn.
B. Có thể phát hiện ra bệnh phêninkêto niệu bằng cách làm tiêu bản tế bào và quan sát hình dạng nhiễm sắc thể dưới kính hiển vi..
C. Bệnh phêninkêto niệu là do lượng axit amin tirôzin dư thừa và ứ đọng trong máu, chuyển lên não gây đầu độc tế bào thần kinh.
D. Bệnh phêninkêto niệu là bệnh do đột biến ở gen mã hóa enzim xúc tác cho phản ứng chuyển hóa axit amin phêninalanin thành tirôzin trong cơ thể
Câu 23. Gen đột biến sau đây luôn biểu hiện kiều hình kể cả khi ở trạng thái dị hợp là
A. Gen quy định bệnh bạch tạng
B. Gen quy định bệnh mù màu
C. Gen quy định bệnh máu khó đông
D. Gen quy định bệnh hồng cầu lưỡi liềm
Câu 24. Bệnh mù màu (do gen lặn gây nên) thường thấy ở nam giới ít thấy ở nữ giới, vì nam giới
A. Cần mang 2 gen gây bệnh biểu hiện, nữ giới cần mang 2 gen lặn mới biểu hiện
B. Chỉ cần mang 1 gen gây bệnh đã biểu hiện, nữ giới cần hai gen lặn mới biểu hiện
C. Chỉ cần mang 1 gen đã biểu hiện, nữ giới cần một gen lặn mới biểu hiện
D. Chỉ cần 1 gen đã biểu hiện, nữ giới cần hai gen lặn mới biểu hiện
Câu 25. Phân tích phả hệ của một người nam mắc bệnh di truyền thấy bố mẹ anh ta không mắc bệnh , anh chị em khác bình thường nhưng một người con trai của người em gái bị mắc bệnh . Vợ các con trai và gái của anh ta đều bình thường . Anh ta có người cậu mắc bệnh tương tự . Bệnh di truyền này có khả năng cao nhất thuộc về loại nào ?
A. Bệnh di truyền có kiểu gen trội nằm trên NST thường
B. Bệnh di truyền có kiểu gen lặn nằm trên NST thường
C. Bệnh di truyền có kiểu gen trội nằm trên NST giới tính X
D. Bệnh di truyền có kiểu gen lặn nằm trên NST giới tính X
Lời giải chi tiết
ĐÁP ÁN VÀ HƯỚNG DẪN GIẢI CHI TIẾT
| 1B |
6D |
11D |
16A |
21A |
| 2B |
7C |
12D |
17B |
22D |
| 3C |
8D |
13D |
18C |
23D |
| 4A |
9D |
14B |
19A |
24B |
| 5B |
10C |
15A |
20A |
25D |
Câu 1
Các bệnh được biểu hiện ở cả nam và nữ với xác suất ngang nhau là: bạch tạng,thiếu máu hình cầu lưỡi liềm, pheninketo niệu.
Mù màu và máu khó đông do gen lặn trên X nên xác suất xuất hiện ở nam cao hơn ở nữ.
Chọn B
Câu 2
Ta thấy bố mẹ bình thường sinh ra con bị bệnh → bệnh do gen lặn,
Cặp vợ chồng 5,6 có bố bình thường mà con gái bị bệnh → gen nằm trên NST thường → (1) đúng
Xét cặp vợ chồng 1,2 có chồng bị bệnh, mà sinh ra con bình thường → người vợ có thể có kiểu gen AA hoặc Aa → (2) sai
Số người có thể biết kiểu gen là: (1)aa,(3),(5),(6): Aa, (9) :aa → có 5 người → (3) đúng
Quần thể đang ở trạng thái cân bằng di truyền có thành phần kiểu gen là 0.36AA:0.48Aa:0.16aa → người số (4) có kiểu gen \(\left( {0.36AA:0.48Aa} \right) \Leftrightarrow \left( {3AA:4Aa} \right)\)
Xét cặp vợ chồng (3) x(4) \(Aa \times \left( {3AA:4Aa} \right) \Leftrightarrow \left( {1A:1a} \right)\left( {5A:2a} \right) \to (7):\left( {5AA:7{\rm{A}}a} \right)\) , người (8) có em gái (9) bị bệnh nên có kiểu gen (1AA:2Aa)
Xét cặp vợ chồng (7)x(8) :\(\left( {5AA:7{\rm{A}}a} \right) \times \left( {1AA:2Aa} \right) \Leftrightarrow \left( {17A:7a} \right) \times (2A:1a) \to AA = \frac{{34}}{{72}} = 47.2\%\) → (4) đúng
Chọn B
Câu 3
Nếu con có nhóm máu O thì ta có thể xác định kiểu gen của bố mẹ, khi đó bố mẹ sẽ có kiểu gen dị hợp về nhóm máu đã biết.
Chọn C
Câu 4
Người trên ảnh có các đặc điểm: cổ ngắn, mắt xếch , khoảng cách 2 mắt xa ta có thể kết luận người này mắc hội chứng Đao.
Chọn A
Câu 5
Bệnh mù màu do gen lặn nằm trên NST X quy định nên tỷ lệ mắc bệnh ở nam và nữ là khác nhau, mẹ nình thường có thể sinh con trai bị bệnh do người mẹ mang gen gây bệnh, người con nhận NST X mang gen gây bệnh từ mẹ và Y từ bố.
Ý A,C,D đều sai.
Chọn B
Câu 6
Phương pháp:
Quần thể cân bằng di truyền có cấu trúc p2AA + 2pqAa +q2aa =1
Cách giải:
A : thuận tay phải trội hoàn toàn so với a : thuận tay trái aa = 16% → fa = √0,16 =0,4
→ fA = 1 – fa = 0,6
Cấu trúc di truyền của quần thể là: 0,36 AA + 0,48Aa + 0,16aa = 1
Đẻ sinh được con thuận tay trái , 2 vợ chồng thuận tay phải cần có KG Aa
Xác suất 1 người có KG Aa là \(\frac{{0,48}}{{0,48 + 0,36}} = \frac{4}{7}\)
XS để một cặp vợ chồng thuận tay phải sinh ra đứa con đầu lòng thuận tay trái là \(\frac{4}{7} \times \frac{4}{7} \times \frac{1}{4} = 8,16\%\)
Chọn D
Câu 7
Nhận định sai về bệnh ung thư là: C vì đa số bệnh ung thư xuất hiện ở các tế bào xôma
Chọn C
Câu 8
Các phát biểu đúng về bệnh phêninkêtô niệu là: (1), (3), (4)
Ý (2) sai vì không thể chữa trị hoàn toàn.
Chọn D
Câu 9
Những bệnh, hội chứng do đột biến gen là: 1, 4 ,5
(2), (3), (6) là do đột biến số lượng NST
Chọn D
Câu 10
Cơ sở khoa học của luật hôn nhân gia đình “cấm kết hôn trong vòng 3 đời” là Gen lặn có hại có điều kiện biểu hiện ra kiểu hình
Chọn C
Câu 11
Những biện pháp dùng để bảo vệ vốn gen loài người là :1.2.4
Chọn D
Câu 12
Con trai mắc bệnh máu khó đông chắc chắn phải nhận Xa từ mẹ vì đã nhận Y từ bố.
Chọn D
Câu 13
Hậu quả của đột biến gen là: bệnh mù màu đỏ – xanh lục, phương án A,B,C đều là do đột biến NST.
Chọn D
Câu 14
Ở người:
Pheninketo niệu và bạch tạng là các bệnh do alen lặn trên NST thường gây ra
Ung thư máu là do đột biến cấu trúc NST gây ra
Máu khó đông do alen lặn trên NST giới tính gây ra
Chọn B
Câu 15
A bình thường >> a bị bệnh
Cặp vợ chồng : Aa × Aa
Xác suất sinh con gái đầu lòng, không bị bệnh bạch tạng là 3/4 ×1/2 = 3/8
Chọn A
Câu 16
Nhận xét: hình ảnh trên là của người mắc hội chứng Turner (45, X)
Chọn A
Câu 17
Bố mẹ bình thường sinh con bị bạch tạng → bố mẹ dị hợp về cặp gen này : Aa
Xác suất họ sinh 2 người con trai bị bình thường và 1 người con gái bị bệnh :\(C_3^2{\left( {\frac{1}{2} \times \frac{3}{4}} \right)^2} \times \left( {\frac{1}{2} \times \frac{1}{4}} \right) = \frac{{27}}{{512}}\)
Chọn B
Câu 18
Không thể phát hiện hội chứng AIDS bằng cách làm tiêu bản bộ NST được vì nguyên nhân của hội chứng này ở mức độ phân tử (gen của virus đã được cài xen vào hệ gen người)
Các phương án khác đều là hội chứng do lệch bội nên có thể quan sát thấy.
Chọn C
Câu 19
\(IQ = \frac{{10}}{8} \times 100 = 125\)
Chọn A
Câu 20
Bệnh ung thư được đặc trưng bởi sự tăng sinh không kiểm soảt được của một số tế bào dẫn đến hình thành khối u chén ép các cơ quan
Chọn A
Câu 21
Các bệnh ,tật, hội chứng di truyền được phát hiện nhờ nghiên cứu tế bào là: (1) : 3 NST số 18,(5) :3 NST số 13; (6): 3 NST số 21; (7): mất vai ngắn NST 21 hoặc 22.;
Còn lại đều là bệnh di truyền nên không thể phát hiện bằng nghiên cứu tế bào.
Chọn A
Câu 22
A sai, pheninalanin là 1 axit amin không thể thay thế của con người. Thiếu nó, con người sẽ bị rối loạn chuyển hóa
B sai, bệnh pheninketo niệu do alen lặn qui định, không thể phát hiện bằng phương pháp tế bào
C sai, bệnh pheninketo niệu là bệnh ứ đọng axit amin pheninalanin
Chọn D
Câu 23
Gen đột biến luôn biểu hiện kiểu hình kể cả ở trạng thái dị hợp chứng tỏ gen đó là gen trội
Trong các gen gây bệnh trên thì bệnh hồng cầu lưỡi liềm là bệnh do gen trội quy định
Chọn D
Câu 24
Bệnh mù màu thường thấy xuất hiện ở nam giới nhiều hơn ở nữ giới , nguyên nhân là do bệnh mù màu là gen lặn nằm trên NST giới tính X .
Ở nam giới (XY) chỉ cần 1 alen lặn thì sẽ được biểu hiện ra kiểu hình
Ở nữ giới (XX) thì cần hai alen lặn mới được biểu hiện ra kiểu hình
Chọn B
Câu 25
Phân tích quy luật di truyền trong phả hệ đó có các thành phần sau bị bệnh : người nam bị bệnh , người cậu của người nam và người cháu trai của người nam .
Bố của người nam đó không bị bệnh →Gen bị bệnh không phải là gen nằm trên NST Y Bố mẹ của anh ta bình thường nhưng sinh ra anh ta bị bệnh →Gen bị bệnh là gen lặn
Anh ta nhận gen bị bệnh từ mẹ , nhưng mẹ bình thường nên gen gây bệnh là gen lặn nằm trên NST giới tính X
Chọn D
Webgiaibaitap.com