8. Bài 27. Các loại tia: Tia hồng ngoại – Tia tử ngoại – Tia X

Đề bài

Câu 1 :

Bức xạ (hay tia) hồng ngoại ℓà bức xạ:

  • A.

    Mà mắt không trông thấy và ở ngoài vùng màu đỏ của quang phổ.

  • B.

    Đơn sắc, có màu hồng.

  • C.

    Đơn sắc, không màu ở ngoài đầu đỏ của quang phổ.

  • D.

    Có bước sóng nhỏ hơn 0,75 μm

Câu 2 :

Tính chất nổi bật của tia hồng ngoại ℓà

  • A.

    Tác dụng nhiệt.

  • B.

    Bị nước và thuỷ tinh hấp thụ mạnh.

  • C.

    Gây ra hiện tượng quang điện ngoài.

  • D.

    Tác dụng lên kính ảnh hồng ngoại.

Câu 3 :

Tia hồng ngoại có khả năng:

  • A.

    Giao thoa và nhiễu xạ.

  • B.

    Ion hóa không khí mạnh.

  • C.

    Đâm xuyên mạnh.

  • D.

    Kích thích một số chất phát

Câu 4 :

Thân thể con người ở nhiệt độ 370C phát ra bức xạ nào trong các bức xạ sau đây?

  • A.

    Bức xạ nhìn thấy

  • B.

    Tia tử ngoại.

  • C.

    Tia X.

  • D.

    Tia hồng  ngoại.

Câu 5 :

Trong chân không, tia tử ngoại có bước sóng trong khoảng:

  • A.

    Từ vài nanômét đến 380 nm

  • B.

    Từ 10 -12 m đến 10-9

  • C.

    Từ380 nm đến 760nm

  • D.

    Từ 760 nm đến vài milimét.

Câu 6 :

Khi nói về tia hồng ngoại và tia tử ngoại, phát biểu nào sau đây là đúng?

  • A.

    Tia hồng ngoại và tia tử ngoại đều gây ra hiện tượng quang điện đối với một kim loại.

  • B.

    Bước sóng của tia hồng ngoại lớn hơn bước sóng của tia tử ngoại.

  • C.

    Tia hồng ngoại và tia tử ngoại đều làm ion hóa mạnh các chất khí.

  • D.

    Một vật bị nung nóng phát ra tia tử ngoại, khi đó vật không phát ra tia hồng ngoại.

Câu 7 :

Tia hồng ngoại và tia tử ngoại đều:

  • A.

    Bị lệch trong điện trường

  • B.

    Không có tác dụng nhiệt.        

  • C.

    Có thể kích thích sự phát quang của một số chất

  • D.

    Là các tia không nhìn thấy.

Câu 8 :

Tia X không có ứng dụng nào sau đây?

  • A.

    Chữa bệnh ung thư.

  • B.

    Tìm bọt khí bên trong các vật bằng kim loại.

  • C.

    Chiếu điện, chụp điện.

  • D.

    Sấy khô, sưởi ấm.

Câu 9 :

Hiện nay, bức xạ được sử dụng để kiểm tra hành lí của hành khách đi máy bay là

  • A.

    Tia hồng ngoại

  • B.

    Tia tử ngoại.

  • C.

    Tia gamma

  • D.

    Tia Rơn-ghen.

Câu 10 :

Với f1, f2, f3 lần lượt là tần số của tia hồng ngoại, tia tử ngoại và tia gamma thì

  • A.

    f3 >  f2 >  f1.

  • B.

    f3 >  f1 >  f2.

  • C.

    f2 >  f1 >  f3

  • D.

    f1>  f2 > f3

Câu 11 :

 Kết luận nào sau đây là sai ?

  • A.

    Tia hồng ngoại và tử ngoại có thể dùng để sấy sản phẩm nông nghiệp, tia X có thể dùng để kiểm tra các khuyết tật của sản phẩm công nghiệp.

  • B.

    Quang phổ liên tục phụ thuộc nhiệt độ của nguồn phát, quang phổ vạch phát xạ phụ thuộc thành phần cấu tạo của nguồnphát.

  • C.

    Người ta thường dùng tia hồng ngoại để điều khiển từ xa các thiết bị điệntử.

  • D.

    Tia tử ngoại bị nước hấp thụ mạnh.

Câu 12 :

Khả năng đâm xuyên của bức xạ nào mạnh nhất trong các bức xạ sau?

  • A.

    Tia hồng ngoại

  • B.

    Tia tử ngoại

  • C.

    Ánh sáng nhìn thấy

  • D.

    Tia X

Câu 13 :

Trong công nghiệp cơ khí, dựa vào tính chất nào sau đây của tia tử ngoại mà người ta sử dụng để tìm vết nứt trên bề mặt các vật kim loại:

  • A.

    Kích thích nhiều phản ứng hóa học

  • B.

    Kích thích phát quang nhiều chất

  • C.

    Tác dụng lên phim ảnh

  • D.

    Làm ion hóa không khí và nhiều chất khác

Câu 14 :

Trong y học, tia X được sử dụng để chụp phim, để chẩn đoán bệnh là dựa vào tính chất

  • A.

    Đâm xuyên và phát quang.

  • B.

    Phát quang và làm đen kính ảnh.

  • C.

    Đâm xuyên và làm đen kính ảnh.

  • D.

    Làm đen kính ảnh và tác dụng sinh lí.

Câu 15 :

Nhóm tia nào sau đây có cùng bản chất sóng điện từ?

  • A.

    Tia tử ngoại, tia X, tia catôt.      

  • B.

    Tia tử ngoại, tia hồng ngoại, tia catôt.

  • C.

    Tia tử ngoại, tia hồng ngoại, tia gamma.

  • D.

    Tia tử ngoại, tia gamma, tia bê ta.

Câu 16 :

 Một chùm bức xạ điện từ có tần số 24.1014 Hz. Cho vận tốc ánh sáng trong chân không c = 3.108 m/s.Trong không khí (chiết suất lấy bằng 1), chùm bức xạ này có bước sóng bằng bao nhiêu và thuộc vùng nào trong thang sóng điện từ?

  • A.

    λ= 0,48 mm; vùng ánh sáng nhìn thấy.

  • B.

    λ= 48 pm; vùng tia X.

  • C.

    λ= 1,25 mm; vùng hồng ngoại.

  • D.

    λ= 125 nm; vùng tử ngoại.

Câu 17 :

Một chùm bức xạ điện từ có bước sóng \(0,75\mu m\) trong môi trường nước (chiết suất n = 4/3). Cho vận tốc ánh sáng trong chân không là c = 3.108 m/s. Chùm bức xạ này có tần số bằng bao nhiêu và thuộc vùng nào trong thang sóng điện từ?

  • A.

    f = 6.1014Hz; vùng ánh sáng nhìn thấy.

  • B.

    f = 3.1018Hz; vùng tia X.

  • C.

    f = 3.1014 Hz; vùng hồng ngoại.

  • D.

    f = 6.1015Hz; vùng tử ngoại.

Câu 18 :

Một bức xạ truyền trong không khí với chu kỳ 8,25.10-16 s. Cho vận tốc ánh sáng trong chân không là 3.108 m/s. Xác định bước sóng của chùm bức xạ này và cho biết chùm bức xạ này thuộc vùng nào trong thang sóng điện từ?

  • A.

    24,75.10-6m; thuộc vùng hồng ngoại.

  • B.

    24,75.10-8m; thuộc vùng tử ngoại.

  • C.

    36,36.10-10m; thuộc vùng tia X.

  • D.

    2,75.10-24m; thuộc vùng tia gamma.

Câu 19 :

Một chùm electron, sau khi được tăng tốc từ trạng thái đứng yên bằng hiệu điện thế không đổi U, đến đập vào một kim loại làm phát ra tia X. Cho bước sóng nhỏ nhất của chùm tia X này là 6,8.10-11 m. Giá trị của U bằng.

  • A.

    18,3 kV

  • B.

    36,5 kV

  • C.

    1,8 kV

  • D.

    9,2 kV.

Câu 20 :

Hiệu điện thế giữa anôt và catôt của một ống Cu-lit-giơ là 12 kV. Bỏ qua tốc độ ban đầu của các electron khi bật khỏi catôt. Tính tốc độ của các electron đập vào anôt. Cho khối lượng và điện tích của electron là me = 9,1.10-31 kg; qe = -1,6.10-19 C.

  • A.

    65.106 m/s.

  • B.

    65.107 m/s.

  • C.

    56.106 m/s.

  • D.

    56.107 m/s.

Câu 21 :

Khi nói về tia X, phát biểu nào sau đây đúng?

  • A.

    Tia X là dòng hạt mang điện.

  • B.

    Tia X không có khả năng đâm xuyên.

  • C.

    Tia X có bản chất là sóng điện từ.

  • D.

    Tia X không truyền được trong chân không.

Câu 22 :

Trong các máy lọc nước RO ở các hộ gia đình hiện nay, bức xạ được sử dụng để tiêu diệt hoặc làm biến dạng hoàn toàn vi khuẩn là

  • A.

    tia hồng ngoại

  • B.

    sóng vô tuyến

  • C.

    ánh sáng nhìn thấy

  • D.

    tia tử ngoại

Câu 23 :

Bức xạ anpha, beta và gamma

1. có khả năng đâm xuyên khác nhau qua vật chất.

2. bị lệch khác nhau trong điện trường.

3. bị lệch khác nhau trong từ trường.

Dưới đây là các sơ đồ minh họa:

Ba kí hiệu trên sơ đồ cho kết quả của cùng một loại bức xạ là

  • A.
    L, P, X.
  • B.
    L, P, Z.
  • C.
    M, P, Z.
  • D.
    N, Q, X.

Câu 24 :

Trong các nhà hàng, khách sạn, rạp chiếu phim,… có lắp máy sấy tay cảm ứng trong nhà vệ sinh.  Khi người sử dụng đưa tay vào vùng cảm ứng, thiết bị sẽ tự động sấy để làm khô tay và ngắt khi người sử dụng đưa tay ra. Máy sấy tay này hoạt động dựa trên hiện tượng

  • A.
    cảm ứng tia tử ngoại phát ra từ bàn tay.                     
  • B.
    cảm ứng độ ẩm của bàn tay. 
  • C.
    cảm ứng tia hồng ngoại phát ra từ bàn tay.                
  • D.
    cảm ứng tia X phát ra từ bàn tay.

Câu 25 :

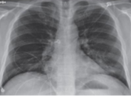
Hình ảnh ở bên là hình chụp phổi của một bệnh nhân nhiễm vi rút Covid-19. Thiết bị để chụp hình ảnh ở trên đã sử dụng tia nào sau đây?

  • A.
    Tia catôt 
  • B.
    Tia X     
  • C.
    Tia tử ngoại.
  • D.
    Tia \(\gamma \).

Lời giải và đáp án

Câu 1 :

Bức xạ (hay tia) hồng ngoại ℓà bức xạ:

  • A.

    Mà mắt không trông thấy và ở ngoài vùng màu đỏ của quang phổ.

  • B.

    Đơn sắc, có màu hồng.

  • C.

    Đơn sắc, không màu ở ngoài đầu đỏ của quang phổ.

  • D.

    Có bước sóng nhỏ hơn 0,75 μm

Đáp án : A

Phương pháp giải :

Sử dụng lí thuyết về tia hồng ngoại (Xém lí thuyết phần 1- các loại tia)

Lời giải chi tiết :

Tia hồng ngoại là những bức xạ không nhìn thấy được, có bước sóng lớn hơn bước sóng của ánh sáng đỏ (λ > 0,75μm)

Câu 2 :

Tính chất nổi bật của tia hồng ngoại ℓà

  • A.

    Tác dụng nhiệt.

  • B.

    Bị nước và thuỷ tinh hấp thụ mạnh.

  • C.

    Gây ra hiện tượng quang điện ngoài.

  • D.

    Tác dụng lên kính ảnh hồng ngoại.

Đáp án : A

Phương pháp giải :

Sử dụng lí thuyết về tia hồng ngoại (Xem lí thuyết phần 1 – Các loại tia)

Lời giải chi tiết :

Tính chất nổi bật của tia hồng ngoại là tác dụng nhiệt

Câu 3 :

Tia hồng ngoại có khả năng:

  • A.

    Giao thoa và nhiễu xạ.

  • B.

    Ion hóa không khí mạnh.

  • C.

    Đâm xuyên mạnh.

  • D.

    Kích thích một số chất phát

Đáp án : A

Phương pháp giải :

Sử dụng lí thuyết về tia hồng ngoại (Xem lí thuyết phần 1)

Lời giải chi tiết :

Tia hồng ngoại có bản chất là sóng điện từ => có khả năng giao thoa và nhiễu xạ. Không có khả năng: ion hóa không khí mạnh, đâm xuyên mạnh và kích thích một số chất phát quang

Câu 4 :

Thân thể con người ở nhiệt độ 370C phát ra bức xạ nào trong các bức xạ sau đây?

  • A.

    Bức xạ nhìn thấy

  • B.

    Tia tử ngoại.

  • C.

    Tia X.

  • D.

    Tia hồng  ngoại.

Đáp án : D

Phương pháp giải :

Vận dụng lí thuyết về các loại tia (Xem lí thuyết phần 1)

Lời giải chi tiết :

Ta có:

+ Mọi vật có nhiệt độ  cao hơn 0K đều phát ra tia hồng ngoại.

+ Những vật có nhiệt độ cao (từ 2000 C trở lên) đều phát tia tử ngoại.

+ Ống Cu-lít-giơ (hay  ống tia X): Chùm electron có năng luợng lớn đập vào kim loại nguyên tử lượng lớn → làm phát ra tia X

Câu 5 :

Trong chân không, tia tử ngoại có bước sóng trong khoảng:

  • A.

    Từ vài nanômét đến 380 nm

  • B.

    Từ 10 -12 m đến 10-9

  • C.

    Từ380 nm đến 760nm

  • D.

    Từ 760 nm đến vài milimét.

Đáp án : A

Lời giải chi tiết :

Trong chân không, tia tử ngoại có bước sóng trong khoảng từ vài nanômét đến 380 nm (ngắn hơn bước sóng của ánh sáng tím)

Câu 6 :

Khi nói về tia hồng ngoại và tia tử ngoại, phát biểu nào sau đây là đúng?

  • A.

    Tia hồng ngoại và tia tử ngoại đều gây ra hiện tượng quang điện đối với một kim loại.

  • B.

    Bước sóng của tia hồng ngoại lớn hơn bước sóng của tia tử ngoại.

  • C.

    Tia hồng ngoại và tia tử ngoại đều làm ion hóa mạnh các chất khí.

  • D.

    Một vật bị nung nóng phát ra tia tử ngoại, khi đó vật không phát ra tia hồng ngoại.

Đáp án : B

Phương pháp giải :

Sử dụng lí thuyết về tia hồng ngoại và tia tử ngoại (Xem lí thuyết phần 1)

Lời giải chi tiết :

ta có:

=> Bước sóng của tia hồng ngoại lớn hơn bước sóng của tia tử ngoại.

Câu 7 :

Tia hồng ngoại và tia tử ngoại đều:

  • A.

    Bị lệch trong điện trường

  • B.

    Không có tác dụng nhiệt.        

  • C.

    Có thể kích thích sự phát quang của một số chất

  • D.

    Là các tia không nhìn thấy.

Đáp án : D

Phương pháp giải :

Sử dụng lí thuyết về tia tử ngoại, hồng ngoại (Xem lí thuyết phần 1)

Lời giải chi tiết :

Tia hồng ngoại và tử ngoại đều không bị lệch trong điện trường.

Tia hồng ngoại có tác dụng nhiệt mạnh.

Tia tử ngoại có thể kích thích sự phát quang của một số chất.

Tia hồng ngoại và tia tử ngoại đều là các tia không nhìn thấy

Câu 8 :

Tia X không có ứng dụng nào sau đây?

  • A.

    Chữa bệnh ung thư.

  • B.

    Tìm bọt khí bên trong các vật bằng kim loại.

  • C.

    Chiếu điện, chụp điện.

  • D.

    Sấy khô, sưởi ấm.

Đáp án : D

Phương pháp giải :

Sử dụng lí thuyết về tia X (Xem lí thuyết phần 1)

Lời giải chi tiết :

Ứng dụng của tia X: Chụp chiếu điện, chữa ung thư; dò tìm khuyết tật bên trong các vật bằng kim loại; nghiên cứu cấu trúc tinh thể; kiểm tra hành lí của hành khách.

Câu 9 :

Hiện nay, bức xạ được sử dụng để kiểm tra hành lí của hành khách đi máy bay là

  • A.

    Tia hồng ngoại

  • B.

    Tia tử ngoại.

  • C.

    Tia gamma

  • D.

    Tia Rơn-ghen.

Đáp án : D

Phương pháp giải :

Ứng dụng của tia Rơn – ghen: kiểm tra hành lí của hành khách

Lời giải chi tiết :

Để kiểm tra hành lý tại sân bay người ta dùng tia Rơn – ghen

Câu 10 :

Với f1, f2, f3 lần lượt là tần số của tia hồng ngoại, tia tử ngoại và tia gamma thì

  • A.

    f3 >  f2 >  f1.

  • B.

    f3 >  f1 >  f2.

  • C.

    f2 >  f1 >  f3

  • D.

    f1>  f2 > f3

Đáp án : A

Phương pháp giải :

Công thức liên hệ giữa tần số và bước sóng: λ = c/f => λ càng lớn; f càng nhỏ

Lời giải chi tiết :

Ta có: λhn > λtn > λγ => fhn < ftn < fγ  => f3 >  f2 >  f1

Câu 11 :

 Kết luận nào sau đây là sai ?

  • A.

    Tia hồng ngoại và tử ngoại có thể dùng để sấy sản phẩm nông nghiệp, tia X có thể dùng để kiểm tra các khuyết tật của sản phẩm công nghiệp.

  • B.

    Quang phổ liên tục phụ thuộc nhiệt độ của nguồn phát, quang phổ vạch phát xạ phụ thuộc thành phần cấu tạo của nguồnphát.

  • C.

    Người ta thường dùng tia hồng ngoại để điều khiển từ xa các thiết bị điệntử.

  • D.

    Tia tử ngoại bị nước hấp thụ mạnh.

Đáp án : A

Lời giải chi tiết :

Tia tử ngoại không có tác dụng sấy khô, sưởi ấm

=> Phương án A – sai

Câu 12 :

Khả năng đâm xuyên của bức xạ nào mạnh nhất trong các bức xạ sau?

  • A.

    Tia hồng ngoại

  • B.

    Tia tử ngoại

  • C.

    Ánh sáng nhìn thấy

  • D.

    Tia X

Đáp án : D

Phương pháp giải :

Sử dụng lí thuyết về sóng ánh sáng

Bức xạ có bước sóng càng ngắn, khả năng đâm xuyên càng mạnh

Lời giải chi tiết :

Trong các bức xạ trên, bức xạ có bước sóng ngắn nhất là tia X  => Bức xạ có khả năng đâm xuyên mạnh nhất là: tia X

Câu 13 :

Trong công nghiệp cơ khí, dựa vào tính chất nào sau đây của tia tử ngoại mà người ta sử dụng để tìm vết nứt trên bề mặt các vật kim loại:

  • A.

    Kích thích nhiều phản ứng hóa học

  • B.

    Kích thích phát quang nhiều chất

  • C.

    Tác dụng lên phim ảnh

  • D.

    Làm ion hóa không khí và nhiều chất khác

Đáp án : B

Phương pháp giải :

Sử dụng lí thuyết về tia tử ngoại

Lời giải chi tiết :

Trong công nghiệp cơ khí, dựa vào tính chất kích thích phát quang nhiều chất của tia tử ngoại mà người ta sử dụng để tìm vết nứt trên bề mặt các vật kim loại.

Câu 14 :

Trong y học, tia X được sử dụng để chụp phim, để chẩn đoán bệnh là dựa vào tính chất

  • A.

    Đâm xuyên và phát quang.

  • B.

    Phát quang và làm đen kính ảnh.

  • C.

    Đâm xuyên và làm đen kính ảnh.

  • D.

    Làm đen kính ảnh và tác dụng sinh lí.

Đáp án : C

Phương pháp giải :

Sử dụng lí thuyết về tia X

Lời giải chi tiết :

Tia X được sử dụng để chụp phim, để chẩn đoán bệnh là dựa vào tính chất đâm xuyên và làm đen kính ảnh.

Câu 15 :

Nhóm tia nào sau đây có cùng bản chất sóng điện từ?

  • A.

    Tia tử ngoại, tia X, tia catôt.      

  • B.

    Tia tử ngoại, tia hồng ngoại, tia catôt.

  • C.

    Tia tử ngoại, tia hồng ngoại, tia gamma.

  • D.

    Tia tử ngoại, tia gamma, tia bê ta.

Đáp án : C

Phương pháp giải :

Sử dụng lí thuyết về các loại tia

Lời giải chi tiết :

Ta có: tia tử ngoại, tia hồng ngoại, tia gamma, tia X có bản chất là sóng điện từ

Câu 16 :

 Một chùm bức xạ điện từ có tần số 24.1014 Hz. Cho vận tốc ánh sáng trong chân không c = 3.108 m/s.Trong không khí (chiết suất lấy bằng 1), chùm bức xạ này có bước sóng bằng bao nhiêu và thuộc vùng nào trong thang sóng điện từ?

  • A.

    λ= 0,48 mm; vùng ánh sáng nhìn thấy.

  • B.

    λ= 48 pm; vùng tia X.

  • C.

    λ= 1,25 mm; vùng hồng ngoại.

  • D.

    λ= 125 nm; vùng tử ngoại.

Đáp án : D

Phương pháp giải :

+ Áp dụng công thức tính bước sóng: \(\lambda  = \frac{c}{f}\)

+ Sử dụng thang sóng điện từ

Lời giải chi tiết :

Ta có:

\(\lambda  = \frac{c}{f} = \frac{{{{3.10}^8}}}{{{{24.10}^{14}}}} = {125.10^{ – 9}}m\) thuộc vùng tử ngoại

Câu 17 :

Một chùm bức xạ điện từ có bước sóng \(0,75\mu m\) trong môi trường nước (chiết suất n = 4/3). Cho vận tốc ánh sáng trong chân không là c = 3.108 m/s. Chùm bức xạ này có tần số bằng bao nhiêu và thuộc vùng nào trong thang sóng điện từ?

  • A.

    f = 6.1014Hz; vùng ánh sáng nhìn thấy.

  • B.

    f = 3.1018Hz; vùng tia X.

  • C.

    f = 3.1014 Hz; vùng hồng ngoại.

  • D.

    f = 6.1015Hz; vùng tử ngoại.

Đáp án : C

Phương pháp giải :

+ Áp dụng công thức tính bước sóng trong môi trường có chiết suất n:  \(\lambda  = \frac{{{\lambda _{ck}}}}{n}\)

+ Áp dụng công thức: \(\lambda  = \frac{c}{f}\)

+ Sử dụng thang sóng điện từ

Lời giải chi tiết :

Ta có:

+ Bước sóng của bức xạ trong nước: \(\lambda  = \frac{{{\lambda _{ck}}}}{n} = \frac{c}{{nf}} \to f = \frac{c}{{n\lambda }} = \frac{{{{3.10}^8}}}{{\frac{4}{3}.0,{{75.10}^{ – 6}}}} = {3.10^{14}}H{\rm{z}}\)

và bước sóng trong chân không: \({\lambda _{ck}} = \frac{c}{f} = {10^{ – 6}}m\) thuộc vùng hồng ngoại

Câu 18 :

Một bức xạ truyền trong không khí với chu kỳ 8,25.10-16 s. Cho vận tốc ánh sáng trong chân không là 3.108 m/s. Xác định bước sóng của chùm bức xạ này và cho biết chùm bức xạ này thuộc vùng nào trong thang sóng điện từ?

  • A.

    24,75.10-6m; thuộc vùng hồng ngoại.

  • B.

    24,75.10-8m; thuộc vùng tử ngoại.

  • C.

    36,36.10-10m; thuộc vùng tia X.

  • D.

    2,75.10-24m; thuộc vùng tia gamma.

Đáp án : B

Phương pháp giải :

+ Áp dụng công thức tính bước sóng theo chu kì T: λ = cT

+ Vận dụng thang sóng điện từ

Lời giải chi tiết :

Ta có:

λ= cT = 24,75.10-8 m. thuộc vùng tử ngoại

Câu 19 :

Một chùm electron, sau khi được tăng tốc từ trạng thái đứng yên bằng hiệu điện thế không đổi U, đến đập vào một kim loại làm phát ra tia X. Cho bước sóng nhỏ nhất của chùm tia X này là 6,8.10-11 m. Giá trị của U bằng.

  • A.

    18,3 kV

  • B.

    36,5 kV

  • C.

    1,8 kV

  • D.

    9,2 kV.

Đáp án : A

Phương pháp giải :

Áp dụng biểu thức: \(eU = \dfrac{{hc}}{\lambda }\) 

Lời giải chi tiết :

Ta có:

\(\begin{array}{l}eU = \dfrac{{hc}}{\lambda }\\ \Rightarrow U = \dfrac{{hc}}{{e\lambda }} = \dfrac{{6,{{625.10}^{ – 34}}{{.3.10}^8}}}{{1,{{6.10}^{ – 19}}.6,{{8.10}^{ – 11}}}} \\= 18267,5V \approx 18,3kV\end{array}\)

Câu 20 :

Hiệu điện thế giữa anôt và catôt của một ống Cu-lit-giơ là 12 kV. Bỏ qua tốc độ ban đầu của các electron khi bật khỏi catôt. Tính tốc độ của các electron đập vào anôt. Cho khối lượng và điện tích của electron là me = 9,1.10-31 kg; qe = -1,6.10-19 C.

  • A.

    65.106 m/s.

  • B.

    65.107 m/s.

  • C.

    56.106 m/s.

  • D.

    56.107 m/s.

Đáp án : A

Phương pháp giải :

Áp dụng biểu thức: \(eU = \frac{1}{2}{m_e}{v^2}\) 

Lời giải chi tiết :

Ta có: \(eU = \frac{1}{2}{m_e}{v^2} \to v = \sqrt {\frac{{2{\rm{e}}U}}{{{m_e}}}}  = 6,{5.10^7}m/s\)

Câu 21 :

Khi nói về tia X, phát biểu nào sau đây đúng?

  • A.

    Tia X là dòng hạt mang điện.

  • B.

    Tia X không có khả năng đâm xuyên.

  • C.

    Tia X có bản chất là sóng điện từ.

  • D.

    Tia X không truyền được trong chân không.

Đáp án : C

Phương pháp giải :

Sử dụng định nghĩa và đặc điểm của tia X

Lời giải chi tiết :

Ta có:

+ Tia X: Là sóng điện từ có bước sóng ngắn (10-8 – 10-11m)

+ Tính chất, đặc điểm của tia X:

– Tính chất nổi bật và quan trọng nhất là khả năng đâm xuyên. Tia X có bước sóng càng ngắn thì khả năng đâm xuyên càng lớn (càng cứng).

– Làm đen kính ảnh.

– Làm phát quang một số chất.

– Làm ion hoá không khí.

– Có tác dụng sinh lí.

=> A, B, D – sai

C – đúng

Câu 22 :

Trong các máy lọc nước RO ở các hộ gia đình hiện nay, bức xạ được sử dụng để tiêu diệt hoặc làm biến dạng hoàn toàn vi khuẩn là

  • A.

    tia hồng ngoại

  • B.

    sóng vô tuyến

  • C.

    ánh sáng nhìn thấy

  • D.

    tia tử ngoại

Đáp án : D

Phương pháp giải :

Tia tử ngoại có khả năng diệt khuẩn

Lời giải chi tiết :

Trong các máy lọc nước RO ở các hộ gia đình hiện nay, bức xạ được sử dụng để tiêu diệt hoặc làm biến dạng hoàn toàn vi khuẩn là tia tử ngoại

Câu 23 :

Bức xạ anpha, beta và gamma

1. có khả năng đâm xuyên khác nhau qua vật chất.

2. bị lệch khác nhau trong điện trường.

3. bị lệch khác nhau trong từ trường.

Dưới đây là các sơ đồ minh họa:

Ba kí hiệu trên sơ đồ cho kết quả của cùng một loại bức xạ là

  • A.
    L, P, X.
  • B.
    L, P, Z.
  • C.
    M, P, Z.
  • D.
    N, Q, X.

Đáp án : C

Phương pháp giải :

Sử dụng tính chất của các tia phóng xạ \(\alpha ,\beta ,\gamma \)

Lời giải chi tiết :

1. Khả năng đâm xuyên của các tia:

– Tia \(\alpha \) chỉ đi được tối đa khoảng 8 cm trong không khí, không đi qua được tờ bìa dày 1 mm.

– Tia \(\beta \) có thể xuyên qua được lá nhôm dày cỡ milimet.

– Tia \(\gamma \) có thể đâm xuyên qua được tấm chì dày cỡ centimet.

→ L là tia \(\alpha \), M là tia \(\beta \), N là tia \(\gamma \)

2. Bị lệch trong điện trường và từ trường

– Tia \(\beta \) có điện tích lớn nhất trong 3 tia → bị lệch nhiều nhất trong điện trường và từ trường

→ P, Z là tia \(\beta \)

– Tia \(\gamma \) không bị lệch trong điện trường và từ trường

→ Q, Y là tia \(\gamma \)

→ R, X là tia \(\alpha \)

Vậy nhóm các tia kí hiệu cho kết quả cùng một loại bức xạ là:

– Bức xạ \(\alpha \): L, R, X

– Bức xạ \(\beta \): M, P, Z

– Bức xạ \(\gamma \): N, Q, Y

Câu 24 :

Trong các nhà hàng, khách sạn, rạp chiếu phim,… có lắp máy sấy tay cảm ứng trong nhà vệ sinh.  Khi người sử dụng đưa tay vào vùng cảm ứng, thiết bị sẽ tự động sấy để làm khô tay và ngắt khi người sử dụng đưa tay ra. Máy sấy tay này hoạt động dựa trên hiện tượng

  • A.
    cảm ứng tia tử ngoại phát ra từ bàn tay.                     
  • B.
    cảm ứng độ ẩm của bàn tay. 
  • C.
    cảm ứng tia hồng ngoại phát ra từ bàn tay.                
  • D.
    cảm ứng tia X phát ra từ bàn tay.

Đáp án : C

Phương pháp giải :

Sử dụng lí thuyết về tia hồng ngoại, tia tử ngoại và tia X

Lời giải chi tiết :

Cơ thể người phát ra tia hồng ngoại. Máy sấy tay hoạt động dựa trên hiện tượng cảm ứng tia hồng ngoại phát ra từ bàn tay.

Câu 25 :

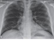
Hình ảnh ở bên là hình chụp phổi của một bệnh nhân nhiễm vi rút Covid-19. Thiết bị để chụp hình ảnh ở trên đã sử dụng tia nào sau đây?

  • A.
    Tia catôt 
  • B.
    Tia X     
  • C.
    Tia tử ngoại.
  • D.
    Tia \(\gamma \).

Đáp án : B

Phương pháp giải :

Tia X được dùng để:

+ Chụp X – quang trong y học để chuẩn đoán và chữa trị một số bệnh.

+ Tìm khuyết tật trong vật đúc bằng kim loại và trong tinh thể.

+ Kiểm tra hành lý của hành khách đi máy bay.

+ Sử dụng trong phòng thí nghiệm để nghiên cứu thành phần và cấu trúc của các vật rắn.

Lời giải chi tiết :

Tia X được dụng trong chiếu điện, chup điện (X quang)

\( \Rightarrow \) Thiết bị để chụp hình ở trên đã sử dụng tia X.

TẢI APP ĐỂ XEM OFFLINE