3. Bài 18. Thực hành: Làm và quan sát tiêu bản quá trình nguyên phân và giảm phân

Báo cáo thực hành: Làm và quan sát tiêu bản quá trình nguyên phân và giảm phân

BÁO CÁO THỰC HÀNH 

1. Mục đích

– Quan sát và vẽ được các tế bào đang ở các giai đoạn khác nhau của quá trình nguyên phân và giảm phân.

 – Rèn kĩ năng sử dụng kính hiển vi và làm tiêu bản hiển vi.

2. Cách tiến hành 

Thí nghiệm làm và quan sát tiêu bản quá trình nguyên phân của tế bào

Bước 1. Cố định mẫu

– Cắt các đầu rễ hành (khoảng 5mm từ đầu rễ).

– Ngâm đầu rễ hành trong dung dịch cố định carnoy trong ít nhất 24 giờ.

Bước 2. Nhuộm mẫu vật

– Dùng panh gắp đầu rễ hành sang ống nghiệm đựng thuốc nhuộm acetocarmine 2%.

– Đun nóng nhẹ (không đun sôi) ống nghiệm chứa rễ hành cùng thuốc nhuộm khoảng 5 – 8 phút.

Bước 3. Làm tiêu bản

– Dùng panh gắp một đầu rễ hành đặt lên giữa lam kính.

– Dùng dao mổ hoặc dao lam cắt lấy một phần rễ (ở vị trí cách đầu chóp rễ khoảng 3 mm  – vị trí có nhiều tế bào phân chia).

– Nhỏ một giọt nước cất lên đầu rễ rồi đậy lamen. Đặt lam kính lên lớp giấy thấm, đặt vài tờ giấy thấm lên trên lamen.

– Một tay giữ một cạnh của lamen, tay kia dùng đầu bút chì hoặc chuôi gỗ của kim mổ rồi gõ nhẹ rồi ép nhẹ lên lamen để dàn mỏng tế bào. 

Bước 4. Quan sát tiêu bản

– Đặt lam kính lên kính hiển vi và quan sát tiêu bản, ở vật kính 10x để tìm vùng rễ có nhiều tế bào đang phân chia.

– Quan sát tiêu bản ở vật kính 40x để nhận dạng tế bào ở các kì khác nhau của nguyên phân.

– Quan sát, nhận biết và vẽ các kì của nguyên phân vào vở.

Thí nghiệm làm và quan sát tiêu bản quá trình giảm phân của tế bào

Bước 1. Mổ châu chấu

– Cắt bỏ cánh, mổ bụng ở phía lưng.

– Dùng panh/kim mổ gắp các ống sinh tinh  (các ống trắng đục) sang đĩa Petri chứa dung dịch nhược trương KCl.

– Loại bỏ các phần mở màu vàng bám xung quanh các ống sinh tinh.

Bước 2. Cố định mẫu

– Chuyển các ống sinh tinh vào ống nghiệm hoặc lọ đựng dung dịch cố định carnoy và ngâm trong khoảng 24 giờ.

Bước 3. Làm tiêu bản

– Dùng panh gắp một đoạn ống sinh tinh từ dung dịch cố định, đặt lên giữa lam kính.

– Nhỏ lên đó một giọt thuốc nhuộm acetocarmine 2% và một giọt glacial acetic acid để làm mềm mô rồi đậy lamen.

– Đặt lam kính lên lớp giấy thấm, đặt vài tờ giấy thấm lên trên lamen.

– Một tay giữ một cạnh của lamen, tay kia dùng đầu bút chì hoặc chuôi gỗ của kim mổ rồi gõ nhẹ rồi ép nhẹ lên lamen để dàn mỏng tế bào. 

Bước 4. Quan sát tiêu bản

– Quan sát tiêu bản (cách quan sát tương tự như nguyên phân).

– Nhận biết và vẽ các kì của giảm phân vào vở.

3. Kết quả 

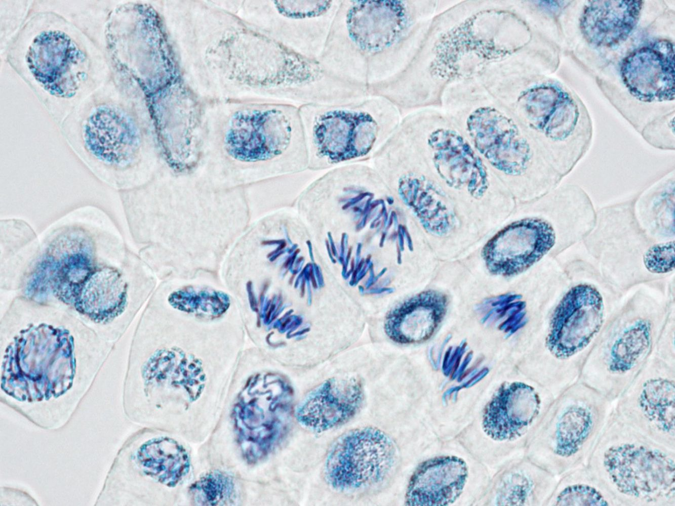
Thí nghiệm làm và quan sát tiêu bản quá trình nguyên phân của tế bào

 

Tiêu bản tế bào rễ hành nguyên phân

 

Lần lượt các kì (nguyên phân) quan sát được

 

Hình vẽ các kì của nguyên phân

Thí nghiệm làm và quan sát tiêu bản quá trình giảm phân của tế bào

 

Tiêu bản tế bào bao phần giảm phân

 

Lần lượt các kì (giảm phân) quan sát được

 

4. Giải thích và kết luận 

Thí nghiệm làm và quan sát tiêu bản quá trình nguyên phân của tế bào

Kì trung gian: NST tiến hành nhân đôi.

Kì đầu: NST bắt đầu co xoắn. Màng nhân và nhân con biến mất. Trung tử và thoi phân bào xuất hiện. Thoi phân bào đính vào 2 phía của tâm động.

Kì giữa: NST co xoắn cực đại và xếp thành một hàng trên mặt phẳng xích đạo của thoi phân bào.

Kì sau: 2 chromatid trong từng NST kép tách nhau ở tâm động thành 2 NST đơn và đi về hai cực của tế bào.

Kì cuối: NST duỗi xoắn, nằm trong 2 nhân mới. Tế bào hình thành eo thắt để phân chia tế bào chất.

Thí nghiệm làm và quan sát tiêu bản quá trình giảm phân của tế bào

Kì trung gian I: NST tiến hành nhân đôi.

Kì đầu I: NST bắt đầu co xoắn. Màng nhân và nhân con biến mất. Trung tử và thoi phân bào xuất hiện. Thoi phân bào đính vào 2 phía của tâm động.

Kì giữa I: NST co xoắn cực đại và xếp thành hai hàng trên mặt phẳng xích đạo của thoi phân bào.

Kì sau I: NST kép di chuyển về cực của tế bào.

Kì cuối I: NST kép duỗi xoắn, nằm trong 2 nhân mới. Tế bào hình thành eo thắt để phân chia tế bào chất.

Kì trung gian II: gần như không có.

Kì đầu II: NST bắt đầu co xoắn. Màng nhân và nhân con biến mất. Trung tử và thoi phân bào xuất hiện. Thoi phân bào đính vào 2 phía của tâm động.

Kì giữa II: NST co xoắn cực đại và xếp thành một hàng trên mặt phẳng xích đạo của thoi phân bào.

Kì sau II: 2 chromatid trong từng NST kép tách nhau ở tâm động thành 2 NST đơn và đi về hai cực của tế bào.

Kì cuối II: NST duỗi xoắn, nằm trong nhân mới. Tế bào hình thành eo thắt để phân chia tế bào chất.

5. Trả lời câu hỏi:

a) Mục đích của bước nhuộm mẫu vật trong quy trình làm tiêu bản của quá trình nguyên phân và giảm phân của tế bào là gì?

b) Giải thích vì sao ở bước nhuộm mẫu vật trong quy trình làm tiêu bản của quá trình nguyên phân của tế bào lại cần đun nóng nhẹ ống nghiệm chứa rễ hành cùng thuốc nhuộm mà không được đun sôi?

c) Vì sao trong quy trình làm tiêu bản quá trình giảm phân của tế bào cần phải ngâm ống sinh tinh của châu chấu trong dung dịch nhược trương KCl và loại bỏ các phần mỡ bám xung quanh các ống sinh tinh?

Lời giải chi tiết:

a, Mục đích của bước nhuộm mẫu vật trong quy trình làm tiêu bản của quá trình nguyên phân và giảm phân của tế bào là để nhuộm màu nhiễm sắc thể trong tế bào. Từ đây, ta có thể quan sát được hình thái, số lượng, vị trí của các nhiễm sắc thể và đoán được tế bào đang ở giai đoạn nào của phân bào.

b, Ở bước nhuộm mẫu vật trong quy trình làm tiêu bản của quá trình nguyên phân của tế bào lại cần đun nóng nhẹ ống nghiệm chứa rễ hành cùng thuốc nhuộm mà không được đun sôi do:

– Đun nóng nhẹ: giúp cấu trúc thành và màng tế bào trở nên linh động hơn, giúp thuốc nhuộm dễ dàng đi qua 2 cấu trúc này và vào trong nhân tế bào gặp nhiễm sắc thể.

– Không đun sôi do: Đun sôi có thể làm tế bào vỡ ra, giải phóng các nhiễm sắc thể ra ngoài dung dịch. Khi đó, sẽ không thể xác định được kì phân bào của các tế bào ban đầu.

c, Trong quy trình làm tiêu bản quá trình giảm phân của tế bào cần phải ngâm ống sinh tinh của châu chấu trong dung dịch nhược trương KCl và loại bỏ các phần mỡ bám xung quanh các ống sinh tinh do:

– Bình thường, việc đếm nhiễm sắc thể trong tế bào thường gặp trở ngại ở loài có số lượng hoặc kích thước nhiễm sắc thể trong tế bào lớn bởi nhiễm sắc thể có thể nằm chồng chéo lên nhau, khó quan sát.

– Trong dung dịch nhược trương KCl thì tế bào ống sinh tinh sẽ là ưu trương so với dung dịch. Do đó, nước từ môi trường ngoài sẽ đi vào trong tế bào, làm tế bào trương lên và dẫn tới sự phân tán của nhiễm sắc thể trong tế bào. Khi đó, ta có thể quan sát và đếm các nhiễm sắc thể đã được nhuộm dễ dàng hơn. Nhờ đó, việc xác định giai đoạn của phân bào cũng dễ dàng hơn.

– Cần loại bỏ các phần mỡ bám xung quanh ống sinh tinh để tránh mỡ phủ lên các tế bào, dẫn tới không quan sát được hình thái, nhiễm sắc thể trong tế bào và khó khăn trong xác định giai đoạn giảm phân của tế bào.


TẢI APP ĐỂ XEM OFFLINE

GIẢI SGK SINH 11 KẾT NỐI TRI THỨC – MỚI NHẤT

Phần mở đầu

Phần 1. Sinh học tế bào

Phần 2. Sinh học vi sinh vật và virus