Trả lời thực hành trang 91 SGK KHTN 6 Chân trời sáng tạo

Báo cáo: Kết quả quan sát tế bào sinh vật

Video hướng dẫn giải

Lựa chọn câu để xem lời giải nhanh hơn

Báo cáo: Kết quả quan sát tế bào sinh vật

CH1

Vẽ và chú thích tế bào trứng cá đã quan sát được. Tại sao khi tách trứng cá chép cần nhẹ tay?

Lời giải chi tiết:

Khi tách trứng cá cần nhẹ tay bởi vì tế bào biểu bì của trứng cá rất mỏng.

CH2

Vẽ và chú thích tế bào biểu bì vảy hành đã được quan sát. Tại sao khi tách tế bào biểu bì vảy hành, phải lấy một lớp thật mỏng?

Lời giải chi tiết:

Bởi vì để có thể dễ quan sát được tế bào biểu bì vảy hành thì phải lấy một lớp mỏng. Nếu lấy lớp dày thì các tế bào sẽ xếp chống lên nhau và khi soi lên kính không nhìn rõ các tế bào.

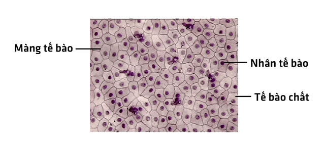
CH3

Vẽ và chú thích tế bào biểu bì da ếch đã được quan sát

Lời giải chi tiết:

Webgiaibaitap.com

Các bài khác cùng chuyên mục

TẢI APP ĐỂ XEM OFFLINE